Inovação na CUF
O que é inovação para a CUF?
Na CUF inovar é explorar soluções geradoras de diferenciação e valor, recorrendo a uma visão e ação criativas que permitam à organização planear o seu futuro e assegurar a sua sustentabilidade.
A Investigação, Desenvolvimento e Inovação são ativos essenciais para sustentar uma oferta competitiva, que explore novas soluções geradoras de diferenciação e valor para os clientes e profissionais da CUF.
Disponibilizamos um modelo de prestação de cuidados de saúde assente na procura contínua de soluções, para dar resposta às necessidades dos doentes, de acordo com as melhores práticas, a excelência tecnológica e a mais recente e comprovada evolução científica. Quer se trate de prevenção, diagnóstico ou tratamento clínico da doença, trabalhamos de forma sustentada na obtenção de resultados clínicos, periodicamente monitorizados e reavaliados face aos objetivos e metas definidos.
Uma solução inteligente para diagnóstico de lesões de trauma
O BoneView é o primeiro produto da Gleamer desenvolvido para auxiliar radiologistas e médicos na deteção de Fraturas, Derrame intra-articular (cotovelo, joelho, tornozelo), Luxações, Lesões ósseas locais: benignas, malignas ou indeterminadas, em radiografias de Extremidades, Pélvis, Coluna lombar: fraturas por compressão, caixa torácica (grelha costal), através de IA (inteligência artificial).
A Clara é a assistente virtual clínica da CUF, desenvolvida para proporcionar cuidados de saúde mais eficientes e eficazes. Com o suporte de inteligência artificial conversacional, a Clara permite interações naturais, como se estivesse a falar com uma pessoa real.
A Clara entra em contacto com o cliente sempre através do número +351 21 145 26 39
Uma solução inovadora que utiliza inteligência artificial (IA) para auxiliar os nossos radiologistas na deteção precoce do cancro da mama.
Sistema inovador que utiliza Inteligência Artificial (IA) para ajudar o seu médico na deteção de pólipos durante o exame.
O GI Genius™ funciona como um "segundo observador" durante a colonoscopia. O sistema analisa as imagens em tempo real, identificando potenciais pólipos que poderiam passar despercebidos ao olho humano. Esta tecnologia aumenta a precisão do exame, permitindo uma deteção mais precoce de lesões e contribuindo para um diagnóstico mais eficaz.
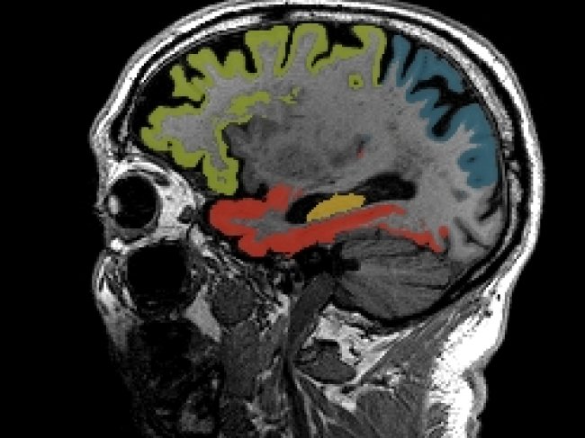
Inteligência Artificial ao serviço da Neurologia
Esta solução de inteligência artificial (IA), especializada na análise de exames neurológicos, permite uma avaliação mais detalhada e objetiva de imagens de ressonância magnética e tomografia computorizada do cérebro.